<tt id="mmm0m"></tt>
  • <tt id="mmm0m"><table id="mmm0m"></table></tt>
  • <tt id="mmm0m"><table id="mmm0m"></table></tt>
  • <tt id="mmm0m"><table id="mmm0m"></table></tt>
  • <li id="mmm0m"><table id="mmm0m"></table></li>
  • <tt id="mmm0m"><table id="mmm0m"></table></tt>
  • <li id="mmm0m"><tt id="mmm0m"></tt></li>
    <li id="mmm0m"><tt id="mmm0m"></tt></li>
  • 悅刻電子煙貨源網,悅刻一手貨源批發網站,提供微商正品relx貨源

    維斯康星州電子煙疾病

    小編

    維斯康星州電子煙疾病預防中心主任。他表示,這種病毒可能會導致肺炎,甚至死亡。目前尚不清楚這種病毒是如何傳播的,但他認為,這種病毒很可能來自美國國和歐洲?!拔覀冃枰扇〈胧?,防止這種病毒在世界范圍內蔓延?!彼f。他補充說,這種病毒可能會引發嚴重的健康問題,包括心臟病發作和其他死亡?!拔覀儽仨毚_保所有人都得到保護,不要讓任何人掉隊?!彼f?!叭绻覀儾贿@樣做,我們將無法控制疫情。

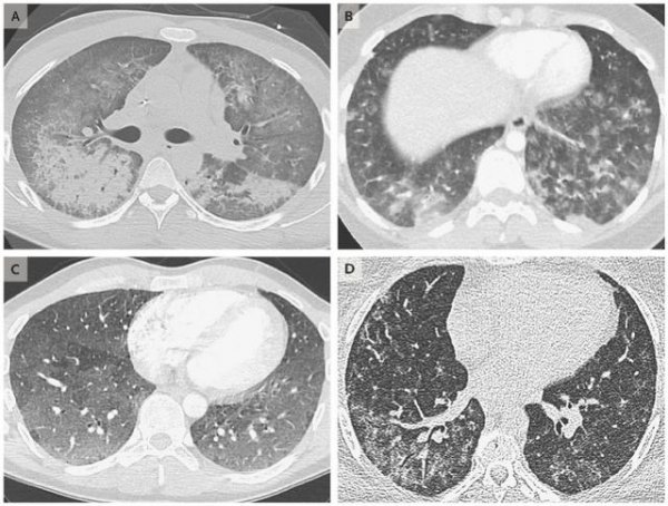
    2019年7月,美國威斯康星州大規模暴發“電子煙疾病”,患者的肺部CT部分區域呈現團狀模糊的白色,三分之二的患者在18歲到24歲之間,已有超2000起肺損傷病例和59例死亡病例被歸類為與電子煙相關。然而,相關確切病因等信息仍不明晰。

    南都記者梳理發現,最早報告的與電子煙相關的病例在2019年3月即已出現。2019年6月起,美媒開始報道該國德特里克堡生物基地問題。7月起,包括該基地附近的養老院在內的全美多地,開始出現不明原因的呼吸系統疾病。2020年3月,美國疾控中心主任公開承認:美國2019年秋季部分流感死亡病例可能感染了新冠肺炎。

    這背后有什么隱情?美方何時公布相關病例的詳細數據和信息?國際社會仍在等待一個明確的說法。

    不明原因的暴發

    2019年夏天,在威斯康星州的兒童醫院,第一次見到后來被歸類為“電子煙疾病”的患者時,醫生們感到無法理解,一名健康的青少年為何迅速患上這樣的重???

    他們一度懷疑是癌癥,對患者進行了CT檢查和肺部活檢。一系列檢查完成后,患病原因卻依然成謎。

    不久后,更多有相似X光照片的患者接連出現,損傷類型高度相似,都十分嚴重,呈現“**”的狀態。

    患者一開始感覺氣短,隨后迅速惡化,出現咳嗽、異常疼痛、反胃和嘔吐等癥狀。所有患者都需要額外的氧氣協助呼吸,其中很多人用上了呼吸管甚至呼吸機,情況最糟糕的患者甚至需要儀器將氧氣從體外輸送進血管。

    這時,該院一名肺部疾病負責人警告說,這可能是某種疾病的暴發。該院醫護人員敦促全國的醫護人員注意識別類似案例并作報告。

    這些病例見諸報端后,有醫生表示在幾年前,這一幕似曾相識。2015年,有兩名癥狀類似的患者被認為是因吸電子煙而得了肺炎,分別是一名此前沒有肺部疾病的西弗吉尼亞州31歲女性,以及一名佛蒙特州的60歲男性。但當時并未引起特別關注。

    2019年7月,出現類似癥狀的威斯康星州青少年的入院人數猛增,9月,伊利諾伊州報告了第一例死亡病例。

    2019年9月,美國疾病控制與預防中心(CDC)報告了來自36個州的380例確認或疑似的“電子煙疾病”病例,其中至少7人死亡。這個數字經過一次修改,曾經是450例。后來美國疾控中心將定義收窄,只有胸部X光異常、近期吸過電子煙,所有檢測已經完成的病例才被計入。

    通常,病例在經歷幾天類似流感或肺炎的癥狀之后來到急診室,患者的肺部CT部分區域呈現團狀模糊的白色。七成病例是男性,三分之二的患者在18歲到24歲之間。

    被毒害的青少年

    實際上,電子煙在美國國內已經存在了大約十年之久,但2019年則突然大規模暴發相關疾病。

    2019年美國“全國年輕人煙草調查”數據顯示,電子煙在美國青少年人群中流行程度高,約27.5%的高中生和10.5%的初中生報告在過去30天中使用過電子煙。

    美國疾控中心2019年8月的新聞稿顯示,調查一開始僅限于青少年群體,隨后,延展到了其他年齡層。新聞稿稱,大部分患者都報告了吸電子煙的經歷,美國衛生部門由此初步作出歸因,并警告公眾避免使用電子煙。

    2019年9月中旬的一場發布會上,美國食品藥品監督管理局(FDA)煙草產品中心的負責人表示,需要更多資料來了解這一疾病與特定物質之間的關聯,已啟動刑事調查。

    2019年10月16日,美疾控中心首席副主任安妮·舒沙特在美國國會作證時表示,患者情況非常復雜,其中約半數患者需要重癥監護。隨著冬天流感季的到來,與電子煙有關肺病的診斷會更加困難,且患有這種肺病的患者更容易患流感和其他肺部疾病。

    美疾控中心在對患者支氣管肺泡灌洗液、肺部組織取樣和電子煙氣溶膠排放等進行檢測。舒沙特認為,疾病可能由多種原因導致,但確切病因的調查還需一段時間。

    因此該機構建議,在調查進行期間,為了保證遠離危險,建議人們考慮避免使用一切電子煙產品,尤其是含有大麻類物質四氫大麻酚(THC)成分的。

    據美媒報道,至今,已有2602起肺損傷的病例和59例死亡病例被歸類為與電子煙相關。馬薩諸塞州和紐約州等州頒布了針對電子煙銷售的禁令。

    “不能公布的細節”

    美國CDC官網的數據顯示,回溯“電子煙疾病”的病例記錄,最早的報告病例在2019年3月底即已出現。

    在相關新聞報道引發公眾關注的2019年9月,病例報告數到達最高峰,一周內出現237起,隨后逐漸回落,至2019年12月開始明顯下降。2020年全年仍偶有病例報告,維持在較低水平。

    2021年2月18日,**華春瑩在例行記者會上梳理了“電子煙疾病”出現的時間節點:2019年6、7月,美國媒體開始報道德特里克堡生物基地問題。根據美國媒體報道,2019年7月弗吉尼亞北部開始出現不明原因的呼吸系統疾病,威斯康星州暴發大規?!半娮訜熂膊 ?。

    同月,美國疾控中心給德特里克堡生物基地發終止函要求其終止大部分操作。2019年7月底,靠近上述基地的兩家養老院出現一種不明原因導致肺炎的呼吸道疾病。2019年8月,美疾控中心聲明稱,考慮到“國家安全顧慮”,不能公布關于關閉該基地的細節和原因。

    華春瑩提到,2019年9月,基地所在地馬里蘭州報告稱“電子煙疾病”患者病例數增加了一倍。2020年3月,美國疾控中心主任公開承認美國2019年秋季部分流感死亡病例可能感染了新冠肺炎。報道也顯示2019年12月一些美國人獻血樣本中已存在新冠病毒抗體。

    “最黑暗的實驗中心”

    “德特里克堡生物基地”是什么地方?

    南都此前報道,該實驗中心位于美國馬里蘭州,隸屬于美國陸軍。據悉,該基地始建于二戰。在二戰期間,美軍就開始在德特里克堡利用各種病原體進行生物戰研究。

    據美國媒體報道,美軍曾選擇德特里克堡作為秘密發動細菌戰最重要的地點,儲存有埃博拉病毒、炭疽桿菌、布魯氏菌等致命“特定生物制劑與毒素”。多年來,它一直是美方隱秘的化學實驗和精神控制實驗基地。

    20世紀90年代初,該生物實驗室就曾發生炭疽等致命菌株、毒株丟失事件。2020年3月,美國一些民眾自發在白宮請愿網站發起請愿,要求政府公布2019年突然叫停德特里克堡實驗室研究工作的真正原因,解釋有關該實驗室的大量新聞報道被刪除的真相,并澄清實驗室是否存在病毒問題。

    公開資料顯示,德特里克堡竟還與侵華日軍“731部隊”有著千絲萬縷的聯系,罪惡滔天的“731部隊”負責人石井四郎還曾是德堡的生物武器顧問。

    作為美軍的生物武器基地,德特里克堡生物實驗室被視為美國政府“最黑暗的實驗中心”。

    出品:南都即時

    采寫:南都記者 林子沛

    <tt id="mmm0m"></tt>
  • <tt id="mmm0m"><table id="mmm0m"></table></tt>
  • <tt id="mmm0m"><table id="mmm0m"></table></tt>
  • <tt id="mmm0m"><table id="mmm0m"></table></tt>
  • <li id="mmm0m"><table id="mmm0m"></table></li>
  • <tt id="mmm0m"><table id="mmm0m"></table></tt>
  • <li id="mmm0m"><tt id="mmm0m"></tt></li>
    <li id="mmm0m"><tt id="mmm0m"></tt></li>
  • 与亲女乱系列小说h 云梦县| 清远市| 廉江市| 巴里| 嘉义市| 墨玉县| 崇信县| 当雄县| 龙岩市| 兰州市| 巍山| 阳原县| 孟连| 定远县| 拜泉县| 永清县| 岳阳县| 德州市| 龙岩市| 华坪县| 黄石市| 灌云县| 高唐县| 东港市| 大荔县| 花垣县| 青冈县| 奇台县| 大宁县| 西充县| 鸡东县| 星子县| 大埔县| 永吉县| 平昌县| 靖边县| 志丹县| 宜兰市| 天镇县| 宁阳县| 曲松县| http://444 http://444 http://444