<tt id="mmm0m"></tt>
  • <tt id="mmm0m"><table id="mmm0m"></table></tt>
  • <tt id="mmm0m"><table id="mmm0m"></table></tt>
  • <tt id="mmm0m"><table id="mmm0m"></table></tt>
  • <li id="mmm0m"><table id="mmm0m"></table></li>
  • <tt id="mmm0m"><table id="mmm0m"></table></tt>
  • <li id="mmm0m"><tt id="mmm0m"></tt></li>
    <li id="mmm0m"><tt id="mmm0m"></tt></li>
  • 悅刻電子煙貨源網,悅刻一手貨源批發網站,提供微商正品relx貨源

    臺灣媒體讓電子霧化煙看起來比吸煙更危險

    臺灣媒體最近報道了一個“令人震驚”的案例,一名30歲的男子據稱對電子煙產生了極端過敏反應,導致他出現了嚴重的呼吸道皮膚病癥狀。

    如果你認為電子煙在西方世界受到了負面報道,那么你就等著看看臺灣等亞洲國家的主要新聞媒體是如何對待電子煙的吧。 熱門新聞網站ET Today最近報道了一名不愿透露姓名的30歲男子的案例,據報道,他在幾個月前開始吸電子煙,在朋友的建議下,之前吸了大約十年的香煙。

    臺灣媒體讓電子霧化煙看起來比吸煙更危險

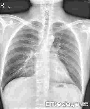
    在短短幾個月的時間里,該男子開始出現咳嗽、氣喘、痰多、呼吸困難等呼吸道癥狀,以及全身皮膚干燥瘙癢的嚴重過敏反應。 他最近因懷疑電子香煙引起過敏反應而住進臺北一家醫院。

    治療這名電子煙用戶的蘇一峰醫生告訴記者,該患者在開始吸電子煙之前,頭部出現了局部牛皮癬,但在開始吸電子煙后,癥狀惡化,最終全身出現了嚴重的牛皮癬。

    但皮膚病只是問題的一部分,這位臺灣醫生補充說,他的病人還患有哮喘,被診斷為肺炎,他的血液檢查也顯示他的過敏指數飆升。 聽他這么說,都是因為那些討厭的電子煙。

    臺灣媒體讓電子霧化煙看起來比吸煙更危險

    “電子煙的可怕程度超乎想象,”蘇毅峰博士說。他還說,臺灣已經接連爆發了嚴重的電子煙疾病,但很多人仍然忽視了它的健康危害。

    這位臺灣醫生說,這位未透露姓名的患者停止使用電子煙,并接受了特殊治療,以抑制他對電子煙加劇的免疫反應,哮喘和牛皮癬等癥狀都得到了改善。

    因為這個可怕的案例還遠遠不夠,《ET Today》決定還提到董基金會煙草危害控制中心的發現,該中心聲稱,研究已經證實,電子煙產生的霧化電子煙液含有破壞DNA的放射性物質, 長期使用會導致呼吸系統疾病。 這是我第一次聽說,但是好吧…

    還不滿足于這個精雕細琢的下鍋之作? 這篇文章還聲稱,在短短幾年內,美國有超過530萬的年輕人接觸到電子煙。

    臺灣媒體讓電子霧化煙看起來比吸煙更危險

    所以你知道了,如果你想避免經歷和這個可憐人一樣的問題,就堅持吸煙吧。 它們可能會殺死一半的吸煙者,但至少它們不會導致牛皮癬。 但是等等,電子煙也不會,根據同行評議的研究,而不是夸大其詞的新聞文章,它們似乎也不會導致呼吸道疾病。 但誰會在乎呢?

    這篇文章甚至沒有提到這名男子在電子煙中吸了什么,也沒有提到除了吸電子煙之外,是否還有其他因素可能加劇了他的癥狀。 它只是假設電子煙是所有這些癥狀的罪魁禍首,這完全沒有道理。

    但話又說回來,我們已經開始期待來自媒體的這種危言聳聽和錯誤信息了,不是嗎?

    <tt id="mmm0m"></tt>
  • <tt id="mmm0m"><table id="mmm0m"></table></tt>
  • <tt id="mmm0m"><table id="mmm0m"></table></tt>
  • <tt id="mmm0m"><table id="mmm0m"></table></tt>
  • <li id="mmm0m"><table id="mmm0m"></table></li>
  • <tt id="mmm0m"><table id="mmm0m"></table></tt>
  • <li id="mmm0m"><tt id="mmm0m"></tt></li>
    <li id="mmm0m"><tt id="mmm0m"></tt></li>
  • 与亲女乱系列小说h 晋江市| 茌平县| 衡水市| 茂名市| 临颍县| 叙永县| 木兰县| 瑞丽市| 建始县| 五家渠市| 湟源县| 蓝山县| 云霄县| 库伦旗| 容城县| 湘潭市| 西盟| 隆子县| 新昌县| 高邑县| 清流县| 虹口区| 旬阳县| 牡丹江市| 吴忠市| 凉山| 永春县| 杂多县| 阿坝县| 阳山县| 米林县| 常山县| 绍兴县| 色达县| 朔州市| 方城县| 青岛市| 石景山区| 土默特左旗| 宁阳县| 逊克县| http://444 http://444 http://444